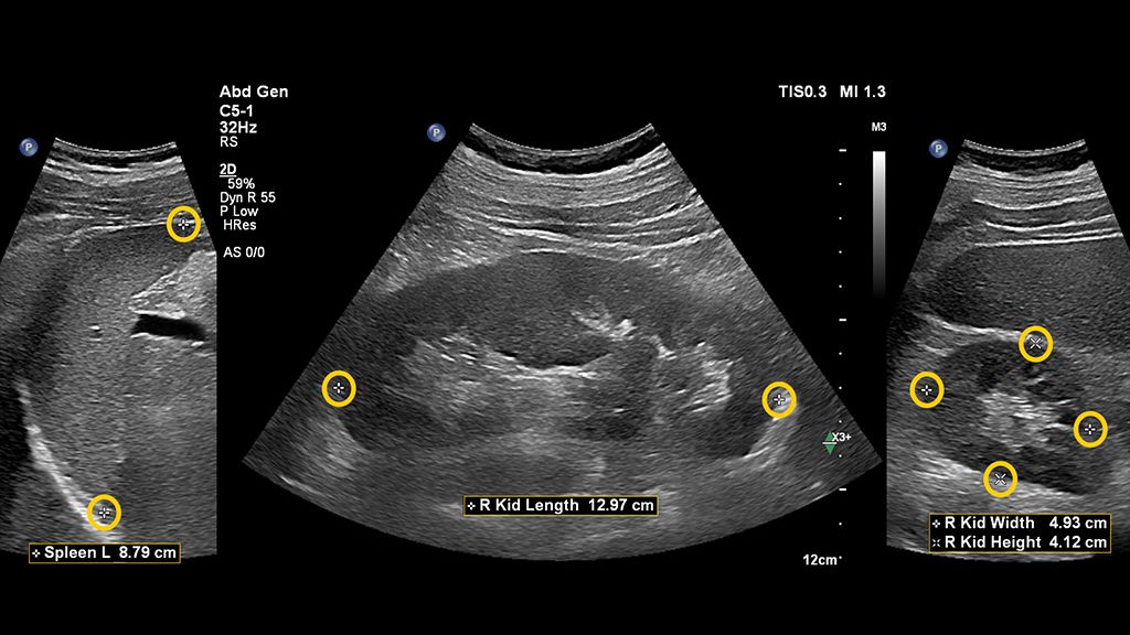
Auto Measure Abdomen
Standard workflow vs. Auto Measure Abdomen workflow
See how much time you can save with Auto Measure Abdomen in this side-by-side workflow comparison video.
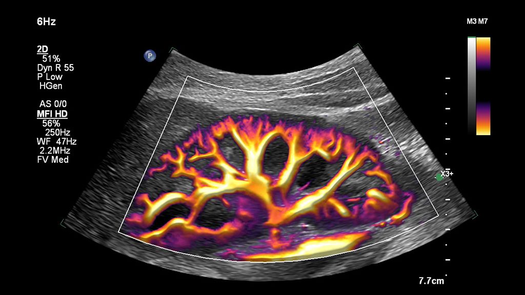
The widespread use of this technology in a general population could be helpful in screening for advanced chronic liver disease, especially considering that a complete study can be done in under three minutes using a non-invasive method for chronic liver disease.